Why sensory deprivation sparks the brain to imagine
Trending Now
Sensory deprivation is a fascinating topic that often intertwines with the concept of creativity. It refers to the intentional reduction of stimuli from one or more of the senses. This process can lead to a unique form of mental clarity and even inspire creativity.
Many people find that when they are not bombarded with external stimuli, their minds can wander freely, allowing for unexpected ideas and solutions to emerge. This article delves into how sensory deprivation impacts the brain and fosters creativity.
The Science of Sensory Deprivation: How It Works

The science behind sensory deprivation involves minimizing sensory input to the brain. This typically occurs in environments like sensory deprivation tanks, where sound and light are reduced to near zero.
Without constant input, the brain begins to operate differently, often entering a state of deep relaxation. Studies show that this can lead to increased theta brain waves, which are associated with relaxation, internal focus and in some contexts even creativity. By understanding this process, we can better appreciate how sensory deprivation influences cognitive functions.
Historical Overview: Sensory Deprivation Experiments

Sensory deprivation experiments date back to the mid-20th century, with notable contributions from researchers like John C. Lilly. His studies in isolation tanks opened the door to understanding how sensory deprivation affects the human mind.
These experiments revealed that extended periods without sensory input could lead to hallucinations and altered states of consciousness. While some findings were controversial, they paved the way for further exploration of the brain’s response to such conditions.
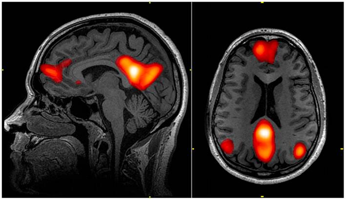
Exploring the Brain’s Default Mode Network

The brain’s Default Mode Network (DMN) is a fascinating area that becomes more active during sensory deprivation. The DMN is associated with self-referential thinking and daydreaming. When external stimuli are removed, the brain tends to focus inward, activating the DMN.
This inward focus is associated with self-referential thinking, mind-wandering, and introspection, which may support creative thinking. Understanding the DMN’s role in sensory deprivation helps us see why these experiences can be so creatively enriching for many individuals.
The Role of Imagination in Sensory Deprivation

Imagination plays a crucial role during sensory deprivation. When the brain is deprived of sensory input, it often compensates by creating vivid mental images and scenarios. This imaginative process can increase internally generated imagery and introspective thinking.
Studies have shown that people who engage in sensory deprivation often report enhanced mental imagery and visualization skills. By tapping into our imagination, sensory deprivation can unlock creative potential that might otherwise remain dormant.
How the Brain Fills in the Gaps: A Look at Perception

During sensory deprivation, the brain has a remarkable ability to fill in the gaps left by missing sensory input. This process is known as perceptual completion. When sensory information is scarce, the brain relies on memory and imagination to construct a coherent experience.
This tendency can lead to fascinating phenomena, such as auditory or visual hallucinations. By understanding how the brain adapts to sensory deprivation, we can gain insights into the complex nature of human perception.
The Psychology Behind Creating Meaning

The human brain is wired to create meaning, even in the absence of external stimuli. During sensory deprivation, this drive becomes even more pronounced. People often report profound insights and personal revelations when deprived of sensory input.
This phenomenon is rooted in the brain’s tendency to search for patterns and coherence, leading to new interpretations and understandings. By exploring the psychology behind meaning-making, we can better appreciate the transformative power of sensory deprivation.
Case Studies: Famous Examples of Sensory Deprivation

There have been several famous cases of sensory deprivation that highlight its profound effects. One notable example is astronaut Scott Kelly, who spent nearly a year on the International Space Station and experienced prolonged isolation, confinement, and sensory monotony, which he has described as affecting his mental and emotional state.
Another case is that of artist Marina Abramović, who used sensory deprivation in her performances to explore the limits of human perception and consciousness. These cases demonstrate the wide-ranging impact of sensory deprivation on individuals.
The Brain’s Response to Isolation and Lack of Stimuli

Isolation and lack of stimuli can have profound effects on the brain. In sensory deprivation, the brain shifts its focus from external to internal stimuli. This shift can lead to enhanced creativity and introspection.
However, prolonged isolation can also result in negative effects, such as anxiety and depression. Understanding the brain’s response to these conditions helps us appreciate the delicate balance between stimulation and rest that is crucial for mental well-being.
The Role of Memory in Inventing Meaning

Memory plays a pivotal role in how the brain invents meaning during sensory deprivation. When deprived of external stimuli, the brain often turns to past experiences stored in memory to create a sense of continuity and understanding.
This reliance on memory can lead to vivid recollections and imaginative reconstructions of past events. By examining the connection between memory and meaning-making, we can better understand the cognitive processes that unfold during sensory deprivation.
Sensory Deprivation and Creative Problem Solving

Sensory deprivation can be a powerful tool for creative problem solving. By eliminating distractions, the brain can focus more deeply on a specific issue. This heightened focus often leads to innovative solutions that might not have been discovered in a more stimulating environment.
Research suggests that sensory deprivation encourages divergent thinking, a key component of creativity. By fostering a unique mental state, sensory deprivation can unlock new avenues for solving complex problems.
Exploring the Connection Between Daydreaming and Sensory Deprivation

Daydreaming and sensory deprivation share a fascinating connection in the way they engage the brain. Both involve a withdrawal from external stimuli and a turn inward to the mind’s inner landscape. During sensory deprivation, the brain often enters a state similar to daydreaming, where imagination and creativity flourish.
This connection highlights the potential for sensory deprivation to enhance creative thinking and problem solving by tapping into the brain’s natural tendency to explore and innovate.
How Sensory Deprivation Can Affect Emotional Processing

Sensory deprivation can have a significant impact on emotional processing. In the absence of external stimuli, individuals often become more attuned to their internal emotional states. This increased awareness can lead to a deeper understanding of one’s emotions and improved emotional regulation.
However, for some, the lack of distractions may also intensify negative emotions. By examining how sensory deprivation affects emotional processing, we can gain valuable insights into the complexities of human emotion and well-being.
The Therapeutic Uses of Sensory Deprivation

Sensory deprivation has found a place in therapeutic practices, offering benefits for mental health and well-being. Techniques like floatation therapy use sensory deprivation tanks to promote relaxation and stress relief.
Research suggests that these experiences can reduce anxiety, alleviate pain, and improve mood. By providing a unique environment for introspection and relaxation, sensory deprivation therapy can be a valuable tool for enhancing mental health and fostering personal growth.